Immediate access to high-quality MR Images can help your practice achieve new levels of efficiency and patient satisfaction. The S-scan dedicated MRI system efficiently delivers a range of MSK MRI studies within your existing practice, from C-spine anomalies to foot injuries.



Comprehensive MSK Imaging
A comprehensive set of MSK optimized coils and sequences enables complete office-based imaging to facilitate efficient diagnosis and timely follow-up.
Product Workflow
Designed for daily clinic use, the fast patient positioning and simple workflow quickly deliver the outstanding image quality and automated DICOM workflow.
Patient Comfort and Convenience
The open magnet design contributes to a quiet, comfortable, non-claustrophobic patient experience.
Economical Siting and Operation
The S-scan is one of the most economical MRI systems available, featuring easy installation and low energy consumption with no cryogens required.
All in One Room
The complete system can be installed in a single 238 square foot (14’x17’) room and powered with a standard 110V outlet. A compact configuration with a specially designed bed is also available for spaces as small as 100 square feet.
Patented RF Pavillion
Light-weight pavilion style RF shielding can be installed without any additional construction or renovation.
Turnkey Services
Esaote dedicated MRI site planning, clinical and service teams will help with your installation needs.
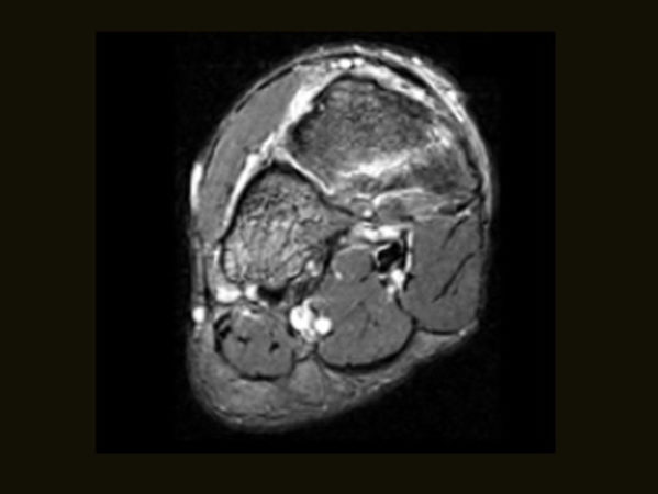
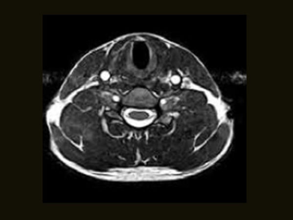
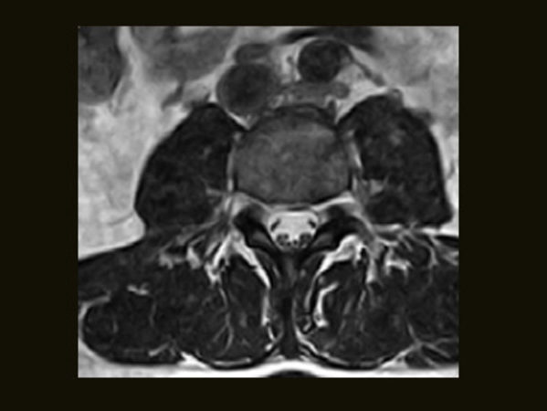
Clinical Images
Thanks to a combination of dedicated MSK sequences, advanced RF coils, and patented computing technology, Esaote MRI systems deliver high-quality MSK images in line with today’s throughput constraints.
Have any questions? Call us now!
Videos
Open Magnetic Resonance ESAOTE S-Scan
Esaote Clinical Cases MRI S-scan (PDF)
Magnetic Resonance Imaging S-Scan













